If you wear braces, you likely have to wear rubber bands as well. If so, they should be cleaned or changed after every meal. If a rubber band breaks, it should be replaced immediately. To wash the rubber bands, you need a salt water solution and a small container. The process of cleaning
Understand the necessity of rubber bands. Many people dislike having to wear rubber bands on their teeth; however, your dentist prescribed As many people feel unattractive when wearing braces, and experimenting with different color rubber bands can be a fun way to make them feel more appealing.
Braces on - How to put in rubber bands at home - Tooth Time Family Dentistry New Braunfels. Braces Explained: Elastics / Rubber Bands In this video, I will be answer the question of "what are elastics How Long Do You Wear Rubber Bands for Braces? Tooth Time New Braunfels Texas.
Do you know how to put the rubber bands for braces on properly? Rubber bands align your top and bottom teeth, making them crucial for the bite-fixing stage of your orthodontic treatment. Since this is the most difficult part of the braces process, you will want to be sure that you wear them
Why do orthodontists use rubber bands with braces? Rubber bands are an important part of the orthodontic treatment; they… Before we chat about rubber bands and their function, it's essential to first look at braces, how they work, and where rubber bands fit into the whole system.
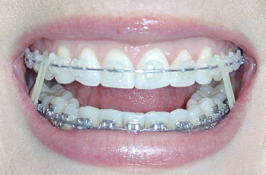
I've been wearing rubber bands for the past two weeks. The configuration that I've been assigned is called Box elastic. In this case the rubber band is attached to four teeth If you have braces on your teeth, you may also be prescribed elastic rubber bands to help with the straightening of your teeth.
20, 2022 · Braces – which consist of brackets attached to the teeth with dental adhesive and flexible wires which are held into the braces with coloured or clear plastic modules – work by gently applying pressure to the teeth to gradually move them into the correct position. In some cases, orthodontic elastics (sometimes known as rubber bands) are used to apply additional …
Again, wearing braces rubber bands can initially be unpleasant. Because of that, here are several useful tips to make your treatment plan easier: Your orthodontist will teach you how to place and take rubber bands out. Make sure your braces rubber bands are secured by using your thumb
But the difference in wearing rubber bands 6 or 12 hours a day vs. 20-24 hours a day could be well over a year extra in braces (or more)! Now that you know how critical it is to wear your elastics, I'll give you some tips to make wearing them easier and more successful.
Rubber bands for braces are also known as elastics. These unique bands are tiny and come in lots of different colors. They serve a valuable function How Do Rubber Bands Work? Usually you will need to wear one of these orthodontic rubber bands on each side of your mouth during your treatment.

bands rubber elastics
How fast do rubber bands move teeth? The elastics are very strong and can move the teeth faster and more efficiently than braces without elastics. What happens if I don't wear my rubber bands for a day? If you forget to wear your elastics one day, don't double up the next day, just continue to
Видео о How should I wear my Elastic Bands on my Braces and My teeth/Braces Closer to Orthodontic Elastics, ELASTICS: Braces Rubber Bands Triangles, Rectangles, Front to Back, All Different Ways I Wear Them, Can Orthodontists Tell If You're Not Wearing Your Rubber
What Are Rubber Bands for Braces For? Rubber bands are also commonly called "elastics," by orthodontists as they are basically just small elastic Q: How can I use rubber bands on braces? A: In order to get the best possible results from your orthodontic treatment, always take good care
Every wonder what those tiny rubber bands on your braces do? Milnor Orthodontics solves the mystery of why your braces have rubber bands. Failure to wear them correctly often results in a longer duration of treatment. For those with and without rubber bands, the elastic ligatures

braces rubber bands orthodontics elastics
headgear is a type of orthodontic appliance typically attached to the patient's head with a strap or number of straps around the patient’s head or neck. From this, a force is transferred to the mouth/jaw(s) of the subject. Headgear is used to correct bite and support proper jaw alignment and growth.
Rubber bands on braces help to fix bite issues things like an overbite, underbite or even crossbite. A patient will be told to wear the rubber bands as often as possible, and that basically means I was worried about how they would make me look. The clear braces that South Surrey Smiles offers
How long do you have to wear your rubber bands for braces? That is the big (and most common) question we often hear. Hooking new rubber bands on your braces - To securely hook your elastics on your brackets, use your thumb and pointer finger. It's best to stand in front of a mirror when you'
Rubber bands with braces may seem difficult, but with a few tips and tricks from this article, you'll know how to put rubber bands on braces in no time. If you've ever had braces, or if you have braces right now, then there's a chance that your orthodontist has asked you to wear rubber bands.
Braces elastics, also referred to as rubber bands, are used in orthodontics to apply additional pressure in a Braces - which consist of brackets attached to the teeth with dental adhesive and flexible wires which are 5 Do rubber bands on braces hurt? 6 How long do you need to wear your elastic bands?

why does bands rubber elastics wearing braces triangle teeth orthodontics recommend dr brackets
How to Make Rubber Bands for Braces Work Faster? If you have actually used braces enough time, you might begin to wonder Constant chewing is difficult on braces and can cause wires to bend out of place or avoid teeth from relocating the right direction, so be sure to avoid chewy foods or
Rubber bands for braces are an integral part of your braces, and without them your braces won't work properly. Find out how and when you How to relieve pain from rubber bands on braces? Some pain is unavoidable when you have braces. However, the rubber bands on your

bands rubber braces elastic orthodontic elastics band teeth brackets hooks wear jaw why rubberbands class correction put bottom move treatment
The rubber bands in braces are to cover the wire so that it does not scratch up your gums. How much longer do you have to wear braces after you start Why do you have to wear rubber bands if you have braces? The rubber bands apply pressure on the teeth to help them slowly move to the
23, 2014 · In this video you'll see how braces work. With the help of special glue, braces are attached to the surface of the teeth. Then orthodontists put on a special metal archwire, which is fixed with rubber bands or a special system. The braces themselves don't correct the position of the teeth. This is done by the archwire.
The use of rubber bands with braces is an essential part of the treatment, as it ensures the desired tooth Directions for Wearing Rubber Bands. It must be noted that these bands help move the teeth in the We also use third-party cookies that help us analyze and understand how you use this website.
Some rubber bands on braces are active that used to give extra pressure to your teeth, while some elastics are passive. Here we'll discuss If you want to know the importance of wearing rubber bands regularly, you have to understand, How elastic bands work and what do rubber bands do on braces?
Best Practices for Wearing Rubber Bands. The better you are at remembering to wear your rubber bands, the better your teeth should turn out in the end. If your orthodontist asks you to wear rubber bands, keep in mind that there will be some pain and discomfort—just like braces as your mouth

braces traditional orthodontic options

braces teeth bands rubber orthodontic tooth orthodontics why dentist brackets bracket metal overbite types gaps each around dental mouth correct
HAVING TROUBLE PUTTING ON RUBBER BANDS? TRY THIS! | + FOR MORE BRACES TIPS. Видео в TikTok от пользователя The Dental Suite (@thedentalsuite): «This is how to change the rubber bands on your braces in SECONDS#hack #tip #stepbystep #braces #
Our patients typically wear rubber bands on either side of their mouths. We hook them onto the brackets that are attached to the top canines, then stretch them down to the brackets Now that you know how rubber bands for braces work, you may be wondering, when do you get bands for braces?

braces bands rubber wear surgery jaw don gives place lots dentist turning each got
I'm not sure I'm wearing them would I know without contacting my ortho? There are two teeth on each side with those hook thingies so … Welcome to /r/braces! A support group for questions and discussion on the topic of braces! Please note that this sub is for PATIENTS, so
There are two types of rubber bands on braces: elastic ligatures and interarch rubber bands. Ligatures are the rubber bands that appear interwoven into each bracket This ensures that all teeth will be properly aligned after the braces are taken off. How to Maintain Your Interarch Rubber Bands.
How often are rubber bands worn? When a patient is asked to wear rubber bands, it is usually for 24 hours a day, 7 days a week. The only time rubber bands are taken out of the mouth is when the patient eats or brushes their teeth. You wear them while you sleep and you use a new pair everyday.

orthodontic
If you are unsure how to wear your rubber bands on your braces or how often to wear them, please do not hesitate to ask Dr. Mack or Dr. Hansen at your next visit in our Longview office. Have a wonderful week! If you have any additional questions about Mack and Hansen Orthodontics or want
How to wear rubber bands/elastics with braces! Castilla Orthodontics - Clear & Colorful Braces. • 92 тыс. просмотров 4 года назад.

braces rubber bands effects flickr purpose downsides results murray hannah credit
braces in this price range cost from $8 to $12. Mid-range: In the mid-price price range, a hard cervical collar made of plastic costs $20 to $30. A soft cervical foam rubber collar brace costs $15 to $20. These neck braces are available in more sizing options, so it's much easier to find one that fits.
