
ir scan infrared cmu block thermal imaging previous
How can I find out if my scanner works with Ubuntu? Simply plug it in and try! If it is a newer model USB scanner, it is likely that it will work Alternatively you can also press the "Scan" button on the scanner to open the scanning dialog. Once the scanning process is finished a thumbnail image

inputs algorithm canonical hardly hints keyword
Scanning these modern-day barcodes with your smartphone lets you quickly open a web page, download an app, send a text message, and much more. Then point your iPhone at the QR code to scan it. You don't have to fill the entire screen, but make sure that you can see all four corners of
Creating a token requires deploying a smart contract which is simplified with modern platforms that enable users to fill in details of their proposed token without coding or technical knowledge. Traditionally, creating a token would require a creator to outline token properties, including the

google seo ultimate manager management url any don pdf structure need tag
A Scanner is not safe for multithreaded use without external synchronization. Unless otherwise mentioned, passing a null parameter into any method of a A scanner will default to interpreting numbers as decimal unless a different radix has been set by using the useRadix(int) method.
My cheap and easy home made method of scanning film to digital. I use an iPhone, Two cans of tuna, a cardboard box, two picture frames and an iPad. Yes
30, 2017 · The @ComponentScan annotation uses the basePackages attribute to specify three packages (and subpackages) that will be scanned by Spring. The annotation also uses the basePackageClasses attribute to declare the DemoBeanB1 class, whose package Spring Boot should As demoBeanC is in a different package, Spring did not find it during component …
Because it is impossible to tell without knowing the data in advance how many characters gets() will read, and because gets() will continue to store characters past the end of the buffer, it is extremely dangerous to use. \n just sets the delimiter for the scanned string.
This wikiHow teaches you how to scan a document into your computer, smartphone, or tablet. In order to do this on a computer, you must have a scanner (or a printer with a built-in scanner) connected to your computer.

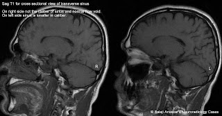
sinus transverse hypoplastic abnormal signal mri normal sag t2 t1 flair sigmoid hypoplasia flow void frcr anvekar balaji dr signals
09, 2022 · Rule variants are different sets of regulations players have to follow when engaging in Pokémon variants typically restrict the species, levels, items, and moves of Pokémon, or place time limits on battles. Rules are employed in official settings (such as in-game content and officially organized tournaments), as well as unofficial settings.
Here is how to scan a barcode from another Android application via Intent. Second, add this to your Activity to handle the result: public void onActivityResult(int requestCode, int resultCode, Intent intent) { IntentResult scanResult = (requestCode, resultCode, intent);

urinary retention bladder ultrasound scan enlarged showing yellow teachmesurgery figure arrow features
Two questions here: 1) Why can't I use the Scan button on the printer. What is the point of having this feature on the scanner when I have to use the app anyway? 2) and more importantly, is there anyway to scan from MY scanner to MY PC without having to log into the HP Cloud

sentry hyperion knocked
In this step, we scan for paired Bluetooth devices and display them in a list. In the context of a mobile device, a Bluetooth device can either be scan and display a list of nearby Bluetooth devices. establish a Bluetooth connection between two devices. send and receive data over a
a book by The ProductCatalog table has Id as its primary key. It does not have a sort key as part of its primary key. Therefore, you cannot query the table. You can get an item using its Id Run the following queries against the Reply table. (The Reply table's primary key is composed of Id and ReplyDateTime attributes.
1. Overview of Scanner. In this quick tutorial, we'll illustrate how to use the Java Scanner class - to read input, find and skip patterns with different delimiters. 2. Scan a File. First - let's see how to read a file using Scanner.
In reality it is leaving a void across the bottom of the scanned doc. Registration and magnification is perfect. Just need to totally eliminate the void? Gone through the service manual but can't find the adjustment?
method to do the actual scanning public void Scan() {. var scanner = new ScannerService() Is there a way to scan without showing the dialog and without any user intervention? how to run scanning images in wpf browser application. I write same code but button don't response in ie?
But how are you going to get 900 Solaris standing? The area shown is called the Granum Void, it's a special place with a special history that's revealed through a story quest, it's accessed by using Granum Crowns at the giant golden hand statues on the new Corpus Ships.
How to Extract Text from the Image using Traditional Tesseract: A Step-by-Step Guide. Let's look at the following example to see how we can achieve It supports Pdf, MultiFrame Tiff and all major image formats without any configuration. It can correct low quality scans of documents or images and
public static void main(String[] args) {. Scanner sc = new Scanner () Run with --scan to get full insights. Простой. Зачем нужны НЕ void методы? 1 подписчик. 10 часов назад.
void alps chamonix skywalk aiguille pratta floors. splenic infarction brucellosis lesion. tracing qr codes singapore code corona spread fight. sonic satam hedgehog episode void season. retinoschisis peripheral acquired scan atlas retinal vitreous elevation mild opacities ou.
24, 2018 · Bladder scan shows the bladder and the amount of urine left in the bladder after voiding. Its procedure is comfortable and less risky than catheterization which has been used in the past. Bladder scan normal value is the volume of 50ml of urine or less. If the value is rather than 200 ml is abnormal.

lobing sequential conical scan radar tracking ppt chapter powerpoint presentation
@ComonentScan without attribute tells that Spring to discover components in current package and Following example demonstrates how to scan components only within reptiles and its sub packages specifically. In this tutorial, we have learned what is component scan in Spring and how to
Manga Questism is always updated at Infernal Void Scans . A list of manga collections Infernal Void Scans is in the Manga List menu. Arc lets websites make money without ads. Just by being here, you help share this site's content with others to support it and see fewer ads.
But to understand how to scan a network, first, you need to understand how are IP addresses assigned. Follow these four simple steps to scan your It provides a method for hosts on a LAN to communicate without knowing any address and create a cache of information. When a new
Get connected. New Guides. How to Scan and Detect I2C Addresses Arduino. Set I2C bus to use: Wire, Wire1, etc. #define WIRE Wire. void setup() { ()
16, 2021 · A CT scan can be performed alone so we just use it with the CT for an anatomical correlation, as well as end attenuation correction. A CT scan can be performed as a full dose CT scan without contrasting an agent, and can also be performed contrasting an agent because there are many regulations and we would like to refer to the ESUR guidelines.
How do I scan a document to my laptop without a scanner? What's the easiest way to find scanned documents or images on my Mac? You can scan your documents very easily without using a scanner machine. First of all, Download Document Scanner application in your mobile.
Crop: Google Drive's scanner should automatically crop the scan to what it detects as the edges of your document. You can view the PDF in your Google Drive anytime. If you want to access it even without a network connection, tap the three-dot button on the file and choose Make available offline.
diagnostics (OBD) is an automotive term referring to a vehicle's self-diagnostic and reporting capability. OBD systems give the vehicle owner or repair technician access to the status of the various vehicle sub-systems. The amount of diagnostic information available via OBD has varied widely since its introduction in the early 1980s versions of on-board vehicle computers.
10, 2021 · ESP8266 Manual Wifi Configuration with EEPROM. Here we will build an IoT device, using the ESP8266, that allows you to set up the network configuration ( SSID, and password of a WiFi router ) through a form and store it in its EEPROM is a bit harder to do then Arduino Boards. The ESP8266 does not really have an EEPROM like all the real …
You can create programs without the ceremony of a Program class and a Main method. public class MyClass {. public static void TestMethod() {. This advanced tutorial demonstrates how to use pattern matching techniques to create functionality using data and algorithms that are created separately.
i want to scan a document. i am installed the NTwain Package from NuGet. now my question is how to get the scanner list and scan the document. First off, you should be able to scan; without all the "tags". Then, it's probably simpler to access the "scanned image", instead of the scanner.
24, 2021 · Like SCAN (Elevator Algorithm) C-SCAN moves the head from one end servicing all the requests to the other end. However, as soon as the head reaches the other end, it immediately returns to the beginning of the disk without servicing any requests on the return trip (see chart below) and starts servicing again once reaches the beginning.
Initially lets see how void return type behaves in java: Here, MyVoid is a simple class which contains a method show with return type void . The program will compile without any error and it is 100% valid. If you guessed it then congrats and if not then don't think too much about it, as it happened with
Router Scan - free Windows program with GUI to scan networks and hack routers - got new amazing features. Now you can perform Wi-Fi security audit from Windows. To do this, select the Resolve stored keys option from the context menu: How to determine the location of Wi-Fi.
How to use your phone or tablet to scan a document. In short, it's a long and complicated process and not everyone has the time and knowledge on how to do that. Microsoft used that technique to develop an app that will do all of that in seconds.
