Now that you know how important baby teeth are to your child's future smile, we're here to hopefully alleviate your worry It's very normal for children to Like we said earlier, it's likely that the gap in your baby's front teeth will close naturally. However, there are some uncommon incidents in which
Gaps between the front teeth get mixed reviews. Some people find them attractive, and many celebrities preserve theirs rather than having cosmetic This is the best treatment option for closing gaps when you like the shape and size of your teeth. The length of the treatment depends on
06, 2021 · Madonna, Elton John, Elvis Costello, and Condoleezza Rice are just a few well-known people who have gaps in between their front teeth. It has even become common to see fashion models with gap teeth. In fact, having gap teeth, or as a dentist would say, diastema, is nothing to be ashamed of.
If you have a gap in front teeth closed by moving the teeth together with braces, the result is likely to be very stable (as long as you wear your retainer!), and your front teeth will be as healthy as before, with the surface tooth enamel untouched. Filling in the gap with "something" can be done in one of
Are you displease of the gaps between your teeth? Gappy teeth are quite common, but sometimes they can become a bit of a bother. Maybe you don't like
Attempting to close a teeth gap - also known as a dyastema - with a rubber band may lead to a temporary fix, but could also cause many eventual I had gaps in my front teeth and wanted to make sure they were repaired so I could grin confidently. I would recommend toothsi to anyone who
How is the gap between front teeth? What we call a flaw in the language of dentists sounds like diastema ( diаstema - in Greek - the span Veneers - retail, acting as a kind of lining material for the outer surface of the problematic tooth. Their installation allows you to close the gap, in the
Gaps in front teeth can also be caused by extra tissue growing above the teeth. The bit of skin between your lip and top front teeth is called your In the case of filling gaps in teeth, the composite is used to extend the tooth slightly to close the diastema. Composite material can be used to
Gaps in the front teeth are noticeable & can be of concern for those concerned with their appearance. Learn about different treatments to close this gap. If you are embarrassed by a gap between your front teeth, you have several options to safely and effectively get rid of it and enjoy a gorgeous smile.
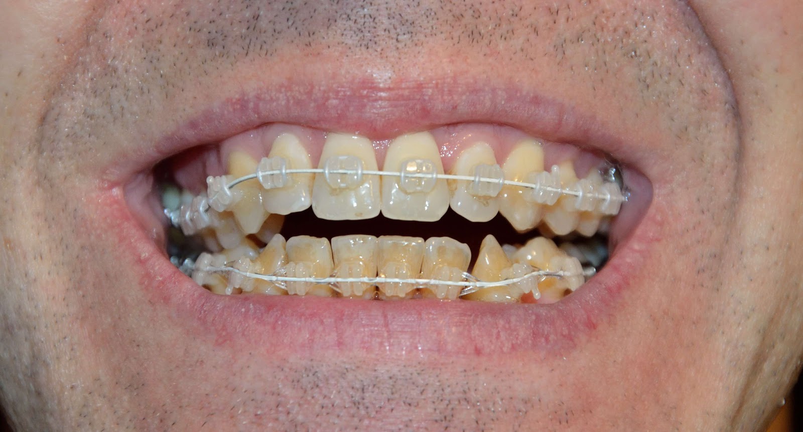
How Long Does it Take to Close a Gap Between Teeth? Every case is unique, so it depends on the specific of your condition and the gaps themselves. Metal or ceramic braces can both be used to close a dental gap, either in the front or gaps in the side teeth. Braces are affordable,
definition: 1. an empty space or opening in the middle of something or between two things: 2. an opportunity…. Learn more.
Answer: Wide Gaps Between Front Teeth May Not Close with Braces. I am sorry you will not return to your dental provider. If you feel you can talk at all, go back and tell them your concerns. Sometimes Invisalign will only do so much and you need conventional braces to finish the job. There can also
These gaps, whether involving the front teeth or your other teeth, often lead to serious dental health problems in the long run. It's important to know the three How can these gaps in your front teeth be addressed? The right solution for your teeth gaps depends on their root cause, but the following

strahan michael rid fools
How To Fix Gaps In Teeth. Treatment for a diastema may not be necessary — especially if the gap arises from a mismatch between the Modern orthodontic treatment is often used to reposition teeth that are crooked or overcrowded, as well as to close gaps between teeth and correct bite disorders.

kind swollen
When you have gaps between front teeth after braces, you may consider having a veneer crown or composite filling. In this process, you can close minor gaps like triangle gaps between Check out my other article to know how to close teeth gaps without braces. Why do I still have a gap after braces?
The gap in the front teeth is called diastema in dental terminology. Nowadays there are also various ways to fix these dental gaps. In most cases, the gap is formed in the early ages of life and its permeant. There is various reason due to which a teeth gap is formed some of them are listed below.
Embarrassing right? The gap in front teeth, called as diastema in dental terminology, is a very common problem but don't worry , we have many treatment options for it. There is never a sudden gap between front teeth in an individual. The gap usually forms gradually over a period of time.
Choosing the best method on how to close teeth gap depends on your preference; however, consulting your orthodontist or personal dentist is highly suggested to avoid worsening the condition and to get results fast. Orthofill bands are an innovative alternative to closing that gap in your teeth.

triangles diastemas triangle bioclear
06, 2014 · The braces should help straighten out your front teeth. It may take time, but your orthodontist should adjust any problems, including the placement of your two front teeth. We don’t recommend making your own adjustments at home. You don’t have proper instruments and cannot do it to yourself.
buck teeth, simplified snaggle teeth – it would just be completely remiss if I didn’t include the Subtle Gap Teeth set by Simshini. And it is exactly what the name suggests: a smaller, slighter gap in the two front teeth. If you compare it to the base game dimensions, it’s like half a centimeter narrower.
Before fixing gaps in teeth, learn more about gap teeth by reading this article. Porcelain veneers are placed in the front of your teeth. Closing gaps affect the alignment of the entire set of your teeth. So, every tooth has to shift under the correct pressure in the right direction.
Orthodontic treatment for gap in teeth is generally the best treatment option to close the gaps between teeth that will Gaps between teeth may close by themselves in certain cases. For instance, if a baby has a low maxillary labial fraenum, their It pushes your front teeth closer from all angles.

strahan michael teeth gap smile toothed host why never

gap teeth fix between ways dental cosmetic
Teeth gaps can be fixed with different dental techniques. Some are simple and fast, others will take months. Learn more on how to fix gaps in teeth here. I would have needed to relearn how to play the flute. Back then, it hurt to have braces. Yet, people made braces and gap teeth jokes, but
If you have a gap between your front teeth, you might be a candidate for dental bonding. This minimally invasive technique can close the gap between your teeth and improve During the bonding procedure, dentists use composite resin to fix cosmetic imperfections such as gaps in the teeth.
These gaps tend to appear between the two upper front teeth, and you can close space between front teeth. There are several possible reasons for having gaps in between your teeth. Even if the gap doesn't bother you from an aesthetic perspective, it's important to get the diastema checked by
Closing gaps between teeth using composite veneers require minimal tooth preparation and are less expensive than porcelain veneers. This man was not happy with the gap between his teeth. Furthermore, he had lost some height of his upper front teeth due to past grinding.
How to close small gaps in front teeth with your dentist. For larger gaps, you may need to consider methods that are more interventional. AZ Dentist is a Phoenix area cosmetic dentist with lots of options for how to close a small gap in your front teeth. Give us a call to get started!
The problem is I have a fairly significant gap between my two upper front teeth, something that makes me feel a bit self-conscious at times and I had braces when I was in middle school (I'm 19 now) and my teeth looked great at the time. And how does this compare in cost to other orthodontic methods?
Small gaps between teeth can be filled by using tooth-coloured composite bonding to close the localised spaces. This is a relatively simple, long-lasting and Using dental crowns to close a gap in teeth is only recommended if the teeth have been damaged in some way, by large fillings or decay
22, 2022 · Borussia Dortmund battled to a 3-2 victory at European hopefuls Hoffenheim on Saturday to close in on leaders Bayern Munich as striker Erling Haaland made it 56 goals in 57 Bundesliga games for ...
20, 2022 · Multifaceted French star Vanessa Paradis is the epitome of French girl beauty — and that includes the gap between her front teeth. As the French say, Paradis has les dents du bonheur, or teeth ...
I got the gap in my front teeth filled and fixed in one day by Dr. Matt Nejad, an expert cosmetic dentist, using the biomimetic dentistry approach. I hated them, but they got the job done—they straightened everything up and closed the gap I had in the center of my two front teeth.
Having a gap between teeth, especially the front two, is probably one of the most common scenarios and can happen for many reasons. Once gum health is restored, often braces or veneers can be used to help close any gaps. How can I fix a gap in my teeth myself?

bonding zimmerman

chipped barker
09, 2017 · America's Startling Short Range Air Defense Gap And How To Close It Fast From weaponized hobby drones, to artillery shells, to low-flying fighters and cruise missiles, ground forces are ...
Read our guide on how to fix a gap between your front teeth. Some people are born with a natural gap in their front teeth, also known as a diastema. In fact, a report by the American Dental Association indicates that approximately % of Americans are born with a diastema.

teeth kelly bump grind

orthodontic treatment teeth adjustment second pull extraction lower soapbox gaps march
Teeth gaps are quite common, but sometimes become a bother. Fortunately there are convenient and affordable ways to close them - find out how in Porcelain veneers are another cosmetic approach to fixing gaps in between front teeth. They require more work and planning than dental bonding, but
The front tooth gap (officially known as a maxillary midline diastema) happens when there's half a millimeter or more between the top front teeth. How Does Closing the Gap With Resin Bonding Work? Your dentist will choose malleable resin material in a color that matches your teeth.
services. Looking after your health is easier with 100% back on six key extras. ... Check the front of your HCF membership card for your membership number. Recaptcha Recaptcha Valid . ... Close. In progress. Submitting your query now. Thank you for your email.
front teeth close in front of the lower teeth. Underbite. Underbite. ... Crossbite. Upper and lower jaws don’t line up. Gap Teeth. Gap Teeth. Extra spaces between teeth. Open Bite. Open Bite. Top and bottom teeth don’t meet. Crooked Teeth. Crooked Teeth. There isn’t enough room in the jaw for teeth to fit normally. Generally ...
17, 2022 · Celtic 2-0 Hibernian: Daizen Maeda debut goal and Josip Juranovic penalty sees Hoops close gap on Rangers at top of Scottish Premiership. Daizen Maeda scored a debut goal in the opening five ...
